반응형
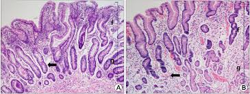
장상피화생(Intestinal Metaplasia, IM)은 위점막 세포가 작은창자나 대장 세포로 바뀌는 **이상 조직 변화**로, ‘전암성 상태’로 여겨집니다. 많은 경우 수년에서 수십 년 동안 안정적으로 유지되나, 일부 고위험군은 **위암으로 진행**될 수 있어 정밀 모니터링 및 관리가 중요합니다.
1. 장상피화생이란?



- 위 점막이 만성 염증(헬리코박터균, 위산 역류 등)에 의해 **소장·대장 세포처럼 변하는 현상**입니다 :contentReference[oaicite:2]{index=2}.
- 자체가 위암은 아니지만, **위암의 전단계로 간주**되며, 암 발생 위험을 2–10배 이상 증가시킨다는 연구가 있습니다 :contentReference[oaicite:3]{index=3}.
2. 암으로 진행되는 기간은 왜 개인마다 다를까?
- 헬리코박터 감염, 흡연, 가족력 같은 **위험인자 존재 여부**에 따라 달라집니다 :contentReference[oaicite:4]{index=4}.
- 중등도 이상의 병변이나 광범위하게 퍼진 경우는 더 빠르게 진행될 가능성 큽니다 :contentReference[oaicite:5]{index=5}.
- 실제로 **몇 년에서 수십 년 내 암 전환**이 가능하며, 1년 내에 암으로 발전하기는 드뭅니다 :contentReference[oaicite:6]{index=6}.



3. 암 전환 위험률은 얼마나 되나요?



- 장상피화생 자체의 암 전환률은 낮아 연간 약 **0.25–0.5%** 수준입니다 :contentReference[oaicite:7]{index=7}.
- 그러나 **저등급 이형성(LGD)**이 동반되면 암 진행률은 연간 약 **1–13%**로 급상승합니다 :contentReference[oaicite:8]{index=8}.
- 고등급 이형성(HGD)이 확인되면, 향후 **5년 내 약 40% 정도에서 위암 발생** 가능성이 있어 즉시 치료가 권고됩니다 :contentReference[oaicite:9]{index=9}.
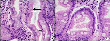
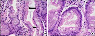
4. 병리학적 진행 단계 정리



- 비이형장상피 → 저등급 이형성 → 고등급 이형성 → 위암
- 이형성 단계에서 조직학적 변화가 시작되며, **이 시점에 조기 치료가 예방 효과 큽니다** :contentReference[oaicite:10]{index=10}.
5. 추적 내시경 검사의 권장 주기



- 이형성이 없는 장상피화생: **2~3년 간격** 내시경 및 조직검사 :contentReference[oaicite:11]{index=11}.
- 저등급 이형성 동반시: **1년 이내, 또는 6~12개월 간격** 권고.
- 고등급 이형성 또는 가족력/광범위형: **연 1회 또는 6개월 단위**로 정밀 관찰 및 치료 필요 :contentReference[oaicite:12]{index=12}.
- 위암 고위험군(40대 이상, 흡연자 등)은 **1년 단위 검진**이 중요하며, 특히 위축성 위염이나 장상피화생이 동반된 경우 더 자주 권장됩니다 :contentReference[oaicite:13]{index=13}.
6. 관리 및 예방 전략



- **헬리코박터 균 제균 치료**: 감염이 있으면 암 위험을 줄이기위해 반드시 치료 :contentReference[oaicite:14]{index=14}.
- 생활 습관 개선: **짠 음식 줄이기**, 금연, 체중 조절 등 :contentReference[oaicite:15]{index=15}.
- 항염 효과 있는 **PPIs**, 스타틴, 비타민D 등이 실제 전암 진행 억제에 도움이 될 수 있습니다 :contentReference[oaicite:16]{index=16}.
7. 고위험군 대처법



- 저·고등급 이형성 존재할 시 **내시경점막하절제술(EMR)** 또는 **고주파 소작술(RFA)** 등 적극적 치료 고려 :contentReference[oaicite:17]{index=17}.
- 암 전이나 국소 암 발견 시 **내시경 또는 수술 치료**를 통해 치료율 90% 이상 달성 가능 :contentReference[oaicite:18]{index=18}.
8. 정기 관찰의 중요성



- 연평균 0.25% 낮은 확률이라도, **10~20년간 꾸준히 추적 관찰**하면 조기 암 발견 가능성 크게 높아집니다.
- 실제로 **1년마다 내시경 시 조기 위암 발견율 26%**, 2년 간격 그룹은 0%라는 연구 결과도 있습니다 :contentReference[oaicite:19]{index=19}.
📌 핵심 요약
- 장상피화생은 수년~수십 년 동안 안정되기도 하지만, **암으로 발전 가능성이 있는 전암 상태**입니다.
- 비이형성 장상피화생의 암 전환률은 낮지만, **이형성 동반 시 연간 1–40% 수준까지 위험 증가**.
- 추적 내시경은 **2~3년 간격(비이형성)**, **1년 이하(이형성 동반)**로 권장됩니다.
- 헬리코박터 제균, 식습관 개선, 금연, 정기 검진이 암 예방 핵심입니다.
반응형